Как выглядят кисты на УЗИ: расшифровка результатов диагностики

Как выглядят кисты на УЗИ: расшифровка результатов диагностики

Киста на УЗИ - это полость, заполненная жидкостью, которая может возникать в разных органах. киста на УЗИ выглядит как темное пятно с четкими границами, потому что жидкость внутри не отражает ультразвуковые волны. Это называется анеходичностью. Многие люди волнуются, когда слышат слово «киста», но на самом деле большинство из них безвредны. В этой статье мы разберем, как именно выглядят кисты на УЗИ, какие признаки важны для врача и что делать, если такая находка обнаружена.

Как работает УЗИ для обнаружения кист?

Ультразвуковой аппарат отправляет звуковые волны в тело. Когда они встречают разные ткани, часть энергии отражается обратно. Жидкость - например, внутри кисты - почти не отражает звук, поэтому на экране она выглядит черной. Твердые ткани, как мышцы или опухоли, отражают больше волн и становятся светлыми. Это ключевое отличие, которое помогает врачам быстро определить природу образования.

Просто представьте: если вы бросите камень в озеро, волны будут двигаться свободно по воде. А если камень попадет в густой куст - волны отразятся. Так же работает УЗИ: жидкость (киста) «пропускает» волны, а плотные структуры «отражают» их. Поэтому на экране киста всегда выглядит темнее окружающих тканей.

Что показывает простая киста на УЗИ?

Простые кисты - самые распространенные и безопасные. На экране УЗИ они похожи на ровные круги или овалы с четкими границами. Внутри них нет никаких структур, только жидкость. Это называется анеходичностью. Такие кисты обычно имеют тонкие стенки и выглядят как идеально черные пузырьки. Например, киста яичника у женщины 30 лет может выглядеть как ровный черный круг диаметром 2-3 см с четкими краями и без внутренних разделений.

Важно: если на УЗИ видно кровоток в стенках кисты или внутренние перегородки - это уже не простая киста. Такие образования требуют внимательного изучения. По данным клинических исследований, простые кисты составляют около 90% всех выявленных образований в яичниках и почках. Они редко требуют лечения и часто исчезают сами.

Сложные кисты: что меняется на УЗИ?

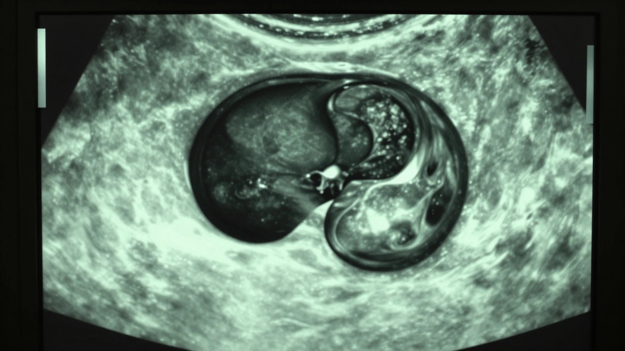
Сложные кисты выглядят иначе. Они могут иметь неровные границы, внутренние перегородки или эхогенные включения (светлые участки). Например, киста печени с кровоизлиянием внутри покажется темно-серой с вкраплениями светлых точек. Такие образования иногда содержат твердые компоненты или кровь, что делает их менее однородными.

Вот пример: киста почки с уплотненной стенкой. На УЗИ она выглядит как темное пятно, но с толстыми краями и небольшими светлыми пятнами внутри. Это может указывать на воспаление или другие изменения. Такие кисты требуют дополнительных исследований, например, КТ или МРТ, чтобы исключить серьезные заболевания.

Простая киста яичника на УЗИ: чёрный овал с четкими краями.

Сравнение типов кист на УЗИ

Сравнение типов кист на УЗИ
Тип кисты Внешний вид на УЗИ Характеристики
Простая киста Темное, круглое пятно с четкими границами Анеходичная, тонкие стенки, нет внутренних структур
Сложная киста Неровные края, внутренние перегородки Эхогенные включения, возможен кровоток
Киста яичника Овальная форма с ровными краями Анеходичная, часто однокамерная, без кровотока
Киста почки Четкий овал с тонкими стенками Анеходичная, заднее усиление сигнала
Киста печени Темное пятно с возможными включениями Иногда гипоэхогенная, может иметь кровоток

Где чаще всего встречаются кисты?

Кисты могут возникать в любом органе, но есть места, где они встречаются чаще. Например:

  • Яичники: простые кисты - нормальное явление. У 15-20% женщин в репродуктивном возрасте есть такие образования. Они часто исчезают после менструации.
  • Почки: кисты почек - частая находка при УЗИ. У людей старше 50 лет их обнаруживают в 30% случаев. Обычно они безвредны, если не растут быстро.
  • Печень: кисты печени встречаются реже, но тоже не редкость. Они выглядят как темные круги с четкими краями. При размере больше 5 см могут вызывать дискомфорт.
  • Молочные железы: кисты здесь выглядят как черные овалы с тонкими стенками. Часто связаны с гормональными изменениями.

Важно помнить: не все темные пятна на УЗИ - кисты. Иногда это просто скопление жидкости или аномалия кровеносных сосудов. Только врач может точно определить природу образования, учитывая все характеристики.

Как врачи отличают кисту от опухоли?

Опухоль и киста - это совсем разные образования. Киста - это жидкость в капсуле, а опухоль - плотная ткань. На УЗИ это видно по нескольким признакам:

  • Киста: черная (анеходичная), ровные границы, нет кровотока внутри.
  • Опухоль: серая или светлая, неровные края, часто есть кровоток (видно на допплере).

Например, если на УЗИ видно темное пятно с кровотоком по краям - это почти наверняка опухоль. А если пятно полностью черное, без внутренних структур - это простая киста. По данным клинических исследований, в 95% случаев такие характеристики позволяют точно отличить кисту от злокачественного образования.

Иногда бывают сомнения. Тогда врач назначает дополнительные тесты: например, анализ крови на онкомаркеры или повторное УЗИ через 3 месяца. Если киста не меняется и не растет - это хороший признак.

Простая киста (чёрный круг) и опухоль (серая масса с кровотоком) на УЗИ.

Что делать после обнаружения кисты?

Если киста простая и маленькая (меньше 3 см), обычно ничего делать не нужно. Врач может просто посоветовать регулярно проходить УЗИ для контроля. Например, для кисты яичника - каждые 6 месяцев. Если киста растет или вызывает боль - понадобится лечение. Но даже в этом случае операция требуется только в 5-10% случаев.

Важно не паниковать. По статистике, 90% кист - доброкачественные. Например, киста почки размером 2 см не требует лечения, если не растет. А вот киста больше 5 см или с кровотоком - уже повод для углубленного обследования. Врач может назначить КТ или МРТ, чтобы увидеть детали.

Если у вас есть симптомы: боль в животе, частое мочеиспускание, кровь в моче - срочно обратитесь к врачу. Но даже при отсутствии симптомов регулярные профилактические УЗИ помогают контролировать здоровье.

Мифы о кистах

Многие ошибочно думают, что киста - это всегда опасно. На самом деле:

  • «Киста превратится в рак» - это не так. Раковые опухоли редко развиваются из кист. По данным онкологов, только 1% кист перерождается в злокачественную опухоль.
  • «Нужно сразу удалять кисту» - не всегда. Многие кисты исчезают сами. Операция требуется только при росте, боли или подозрении на рак.
  • «Киста - это следствие неправильного питания» - нет, это не связано с едой. Причины кист - генетика, гормоны или возрастные изменения.

Когда нужно срочно обратиться к врачу?

Даже если киста выглядит безобидно, есть ситуации, когда требуется срочное обследование:

  • Киста быстро растет (более 1 см в месяц).
  • Появилась боль в области образования.
  • В УЗИ видны кровоток или уплотнения внутри кисты.
  • Есть симптомы: тошнота, рвота, кровь в моче или менструациях.

В этих случаях врач назначит дополнительные тесты, чтобы исключить серьезные заболевания. Но помните: даже при таких признаках 80% случаев заканчиваются доброкачественным диагнозом. Главное - не откладывать визит к специалисту.

Киста на УЗИ выглядит как черное пятно - это опасно?

Нет, не опасно. Простые кисты обычно выглядят как черные (анеходичные) области, потому что внутри них жидкость. Это доброкачественные образования, которые часто не требуют лечения. Важно, чтобы врач оценил все характеристики - четкие границы, отсутствие внутренних структур и кровотока.

Почему киста на УЗИ иногда светлая?

Если киста имеет светлые участки - это признак сложной кисты. Внутри могут быть кровь, гной или твердые компоненты. Например, при воспалении или травме. Такие образования требуют дополнительного обследования, чтобы исключить серьезные проблемы.

Можно ли вылечить кисту без операции?

Да, можно. Простые кисты часто исчезают сами. Даже сложные кисты лечат медикаментами (например, гормональными препаратами) или проколом с отсасыванием жидкости. Операция требуется только при больших размерах или подозрении на рак.

Почему врачи назначают повторное УЗИ через 3 месяца?

Чтобы проверить, растет ли киста. Если размер не изменился за 3 месяца - это хороший признак. Если киста выросла или изменила структуру - понадобится более детальное обследование. Это стандартная практика для контроля доброкачественных образований.

Киста яичника - это всегда проблема?

Нет. Фолликулярные кисты яичника - нормальное явление. Они возникают во время овуляции и исчезают через 1-2 месяца. Только если киста больше 5 см, вызывает боль или не исчезает - требуется лечение. В 90% случаев это не опасно.